Ad blocker detected: Our website is made possible by displaying online advertisements to our visitors. Please consider supporting us by disabling your ad blocker on our website.
kurz @all: NEIN ich habe meine Mens. noch nicht
JA ich habe getestet... Blütenweiß
...und ich habe massiv Brustaua (trotz Mönchspfeffer) so als ob die Mens. gleich kommt, aber das geht schon seit Freitag so.
@Sonnenmond: Schön dass du "positiven" Stress hast.
Vielleicht klappt "es" dann auch ohne IUI dass es keine Endo ist und du nicht nochmal unters Messer musst!!!
Aber falls doch, dann hast du Gewissheit und vielleicht nun doch einen Grund für eine ICSI. .... und jetzt ran an die Klausuren!!!
...und wegen dem Treffen, dann verschieben wir es eben bis September oder so?! War ja nur ne Frage
Steffi
Stark ist nicht jemand, der nie hinfällt,
sondern jemand, der immer wieder aufsteht
Hinfallen ist keine Schande, nur liegen bleiben
1. Kiwu Febr. 2000 bis Aug. 2001 (nach Endometriose IV-Entfernung spontan schwanger, Geburt Julia *17.03.02, 4 Wochen zu früh)
2. Kiwu seit Juni 04 (1. biochem. SS/FG in der 5.SSW, 2 Clomi-Versuche, 1 BS <- EL zu, 1. IVF , 1. ICSI/2.Versuch )
April 06 - Dez. 07 (mit Behandlungspause) in Kiwu-Behandlung bei Prof. Siebzehnrübl, Ffm.
Mai 06: BS, beide EL zu, links geöffnet,
7.01.08 wir waren in einer anderen Kiwu-Praxis, dort haben wir erfahren, dass wir sehr viel Glück für den nächsten ICSI-Versuch brauchen.
Blutergebnis bei Doc Reichel: soll 5m g Folsäure nehmen und Heparin spritzen
KIWU ist beendet... und die Beziehung auch...
Bin gerade wieder Single... Kann mir nicht wirklich vorstellen nochmal schwanger zu werden... Geschweige denn einen verständnisvollen Partner zu finden...
Endlich geht´s weiter! Freu mich sogar schon ein bißchen auf´s hibbeln!
LG Petra
Kiwu seid 08-03
von01-04.05 Prednisolon 5mg und VZO
19.04.05 SST positiv
01.07.05 missed Abortion
seid 11-06 bei 17rübl
1.IUI negativ
2.IUI negativ
1.ICSI 10/07 negativ
2.ICSI ---> DR am 19.03.08; PU: 07.04.; TF: 09.04.; SST : 21.04-->Positiv! HCG bei 23
23.04. Verlaufskontrolle ---> HCG immernoch bei 23 negativ!
2 Eisbärchen
Kryo 16.06. TF von 8A und 2B Zeller
27.06. SST ----> POSITIV HCG bei 210
30.06. HCG über 900
03.07. erster US, eine Fruchthöhle mit Dottersack zu sehen
10.07. das Herzlein schlägt
10.03.2009 der erste Schrei war der schönste...
@Mäulchen: Super.... trotz Folli-Chaos, geht es für dich endlich in die WS für ein Positiv!!!!!
@All: Nur kurz... Mens ist da 3 Tage zu spät, war ja nach dem Negativ gestern nicht anders zu erwarten. Wäre zu schön gewesen, naja da bleibt uns wohl doch nur IVF oder "Einzelkind".
Julia meinte gestern abend "Mama, wann bekommst du endlich ein Baby? Allein zu spielen ist echt doof!"
Schöne Woche euch allen...
Steffi
Stark ist nicht jemand, der nie hinfällt,
sondern jemand, der immer wieder aufsteht
Hinfallen ist keine Schande, nur liegen bleiben
1. Kiwu Febr. 2000 bis Aug. 2001 (nach Endometriose IV-Entfernung spontan schwanger, Geburt Julia *17.03.02, 4 Wochen zu früh)
2. Kiwu seit Juni 04 (1. biochem. SS/FG in der 5.SSW, 2 Clomi-Versuche, 1 BS <- EL zu, 1. IVF , 1. ICSI/2.Versuch )
April 06 - Dez. 07 (mit Behandlungspause) in Kiwu-Behandlung bei Prof. Siebzehnrübl, Ffm.
Mai 06: BS, beide EL zu, links geöffnet,
7.01.08 wir waren in einer anderen Kiwu-Praxis, dort haben wir erfahren, dass wir sehr viel Glück für den nächsten ICSI-Versuch brauchen.
Blutergebnis bei Doc Reichel: soll 5m g Folsäure nehmen und Heparin spritzen
KIWU ist beendet... und die Beziehung auch...
Bin gerade wieder Single... Kann mir nicht wirklich vorstellen nochmal schwanger zu werden... Geschweige denn einen verständnisvollen Partner zu finden...
ich komm grad vom Prof., hilfe was war da los heut, 8.30 hatte ich nen Termin bin aber erst 9.30 dran gekommen. Ich sagte ihm das er bitte nochmal auf meine Blutergebnisse schauen soll weil vor 2 monaten dr. weidner meinte die wären ein wenig hoch, daraufhin musste ich ja einen monat lang die pille nehmen....er schaute und meinte "oh, die sind aber arg hoch gewesen, wieso wurde da nix gemacht", naja nu haben sie mir nochmal blut abgezapft, mittwoch kann ich anrufen.
Sagt mal wie wirkt dieses Preda..dingens eigentlich??? weiss jemand ob ich mit erhöhten männlichen hormonen überhaupt schwanger werden kann (ich mein natürlich ohne behandlung), wie lang dauert das bis die werte dann ok sind???
Immer wieder was neues
lg mel
KiWu ernsthaft seit 2005
Juni-Febr 2006 Clomifen
seit Febr. 2007 bei 17rübl
März 2007-Aug 2007 Puregon und üben
Pause bis Feb.2008
Febr. 08 Metformin 850mg
Okt 08 wir versuchen es mal wieder mit Puregon
Mai 09 anscheinend ist ne GKS dazu gekommen
Mai 09 Puregon brachte 2 Eilein hervor
Nach ES Utrogest 1x2
Leider negativ getestet
ich habe ja auch Probleme mit der Hyperandrogenämie. Sie ist zwar bei mir ausgelöst durch meine Stoffwechselstörung, aber ist mit deiner Situation gleichzusetzen.
Ich habe letzten November mit der Einnahme von Prednisolon begonnen, nachdem ein Endokrinologe das für unbedingt erforderlich hielt. Eigentlich hätten so nach 3 Monaten die Werte deutlich niedriger sein müssen und das ist ja bei mir leider nicht passiert, weshalb es ja erst zu weiteren Untersuchungen kam. Deswegen habe ich dir ja geraten, wenn deine Hyperandrogenämie so ausgeprägt ist, würde ich einen Endokrinologen aufsuchen, der auch auf die Ursachen-suche geht und nicht nur die Symptome behandelt. Im Regelfall kann man nach 3 Monaten versuchen das Cortison wohl langsam auszuschleichen, wenn es zum Erfolg geführt hat.
@sonnenmond: naja ich weiss ja noch nich wirklich wie doll die werte sind....werd ich am mittwoch erfahren.....je nachdem was da dann rauskommt werd ich mal nen termin machen, wenn ich hier in der nähe einen finde....will jetzt noch nich den teufel an die wand malen aber spritze ich dann nich umsonst????ist das vielleicht der grund wieso beim stimmulieren immer erst das reifste ei verschwindet und ich wieder "neu züchten" muss?????
KiWu ernsthaft seit 2005
Juni-Febr 2006 Clomifen
seit Febr. 2007 bei 17rübl
März 2007-Aug 2007 Puregon und üben
Pause bis Feb.2008
Febr. 08 Metformin 850mg
Okt 08 wir versuchen es mal wieder mit Puregon
Mai 09 anscheinend ist ne GKS dazu gekommen
Mai 09 Puregon brachte 2 Eilein hervor
Nach ES Utrogest 1x2
Leider negativ getestet
man ich weiß nicht was mit mir in letzter Zeit los ist, ich schlaf wie nen Murmeltier jeden Tag komm ich nicht vor 10 aus den Federn. Na ja hab ja das Glück das ich nicht arbeiten mus. Aber was solls.
@Mäulchen
dir drück ich ganz fst die Daumen für deine IUI morgen und das die WS recht schnell vergeht.
@Sefanie
mensch tut mir leid für dich das die Mens doch gekommen ist. Die hätte doch mal weg bleiben können. Las dich mal ganz lieb knuddel und auch trösten. Ich kenn diese hoffnungen zu gut und die anderen hier auch. Las den Kopf nicht hängen, ein Einzeikind wird deine kleine hoffendlich nicht bleiben. Mach weiter und Kämpf, das deine Tochter bald nen Brüderchen oder Schwesterchen zum Spielen hat. Mein Sohn ist schon 12 Jahre und ich bin ganz traurig das wegen unserer warterei so sein großer unterschied sein wird. Wenn ich das Glück noch mal bekomme Schwanger zu werden.
Ich habe auch lange versucht wieder ne vernünftige Arbeit zu finden, aber leider ohne Erfolg und so hab ich für mich beschlossen wieder intensiev mich mit dem Kinderwunsch zu beschäftigen. Da ich auf keinen fall will das mein Sohn ein Einzelkind bleibt. Ich hoffe sehr das es klapt.
Seid lieb gegrüßt huschepu.
- 1. ICSI > 04/07 - 4A u. 2B Zeller, negativ
- 1. Kryo > 07/07, abbruch / Zweiter Anlauf für den: - 1. Kryo > 08/07 - zwei 2B Zeller, negativ / - 2. Kryo > 09/07 - 4B u. 6B Zeller, negativ
(ein Eisbär ist noch da)
- BU bei Frau Dr. Reichel 11/07 - Ergebnisse, 02/08
- 2. ICSI > 03/08 - 2 schöne EZ, negativ
- weitere BU bei Frau Dr. Reichel, 1. Immu-Termin 6.10.08, 2.Immu-Termin 10.11.08
-1. Dez.08 Blutentnahme um Immu Erfolg zu kontrolieren, 5.12.08 Auswertung - 95% Immuschutz für die nächsten 6 bis 8 Monate
- GMS 2009
1. Mai 2009 - Beginn der 3. ICSI / 18. Mai 2009 - PU / 23. Mai 2009 - TF / 2. Juni - SST - positiv, wir feuen uns ganz doll
(4+1)PU+15 HCG 340 Progesteron 22
(4+3)PU+17 HCG 700 Progesteron 35
(6+0)PU+28 HCG 8783, Progesteron 37,3 / 1.US eine Fruchthöhle mit Herzschlag
(7+2) Progesteron 30,6 /2.US alles supi,
(8+4) alles super, Krümel ist 19 mm groß
(10+2) alles super, Krümel ist 3,5 cm groß
(11+0) alles OK
(12+0) Progesteron 15,5 eine Woche weiter spritzen
(12+1 bis 12+5) im Krankenhaus wegen Blutungen, Baby zum Glück OK
(13+0) Progesteron 14 weiter spritzen, US unauffällig SSL 7cm
(14+0) Progesteron 17,4 ju hu es geht wieder Berg auf und ab jetzt kein Prog.-Depo mehr spritzen
(14+4) Progesteron 18,3 freu mich das es weiter steigt
(37+3) Die Geburt ist nah - Wir sind schon ganz hibbelig
Am 5. Februar 2010 ist unsere Maus geboren / 3 Tage vom ET hielten wir unsere Maus endlich im Arm, das ist sooo schön
@huschepu:
Vielen lieben Dank für deine Glückwünsche.
@all:
wir sind schon total aufgeregt.
Mal sehen ob die ganzen Kügelchen die Männe immer nimmt was gebracht haben...
Und überhaupt mal sehen...
Sonst geht es mir wieder besser....eigentlich wieder gut!
LG Petra
Kiwu seid 08-03
von01-04.05 Prednisolon 5mg und VZO
19.04.05 SST positiv
01.07.05 missed Abortion
seid 11-06 bei 17rübl
1.IUI negativ
2.IUI negativ
1.ICSI 10/07 negativ
2.ICSI ---> DR am 19.03.08; PU: 07.04.; TF: 09.04.; SST : 21.04-->Positiv! HCG bei 23
23.04. Verlaufskontrolle ---> HCG immernoch bei 23 negativ!
2 Eisbärchen
Kryo 16.06. TF von 8A und 2B Zeller
27.06. SST ----> POSITIV HCG bei 210
30.06. HCG über 900
03.07. erster US, eine Fruchthöhle mit Dottersack zu sehen
10.07. das Herzlein schlägt
10.03.2009 der erste Schrei war der schönste...
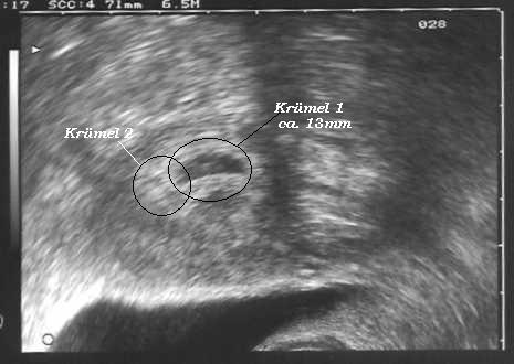
ich bin ganz aufgeregt, wir kommen gerade vom US beim Prof. er hat eine Fruchthöle gesehen mit Inhalt, er meinte er sieht den Dottersack und die entwicklung wäre gut (Zeitgemäß). Stellt Euch vor er hat noch eine 2. Fruchthöhle gesehen, die ist etwas kleiner konnte aber nicht sagen ob da auch was drin ist. Vieleicht bekommen wir ja doch 2 Ich kann es garnicht glauben, es wäre so schön. Wobei ich schon Angst vor einer Zwillingsschwangerschaft habe, weil da doch mehr pasieren kann, bzw. die Babys meisten früher kommen.
Den nächsten US habe ich am 16.07. um 11:00 Uhr mal sehen was man da sehen kann, kann es kaum abwarten. Ich habe Ihn auch gefragt ob ich so lange mein Gyn. Urlaub hat zu Ihm kommen darf da meine er kein Problem. Das finde ich richtig Klasse.
@Mäulchen,
hier meine Daumen für die IUI Morgen für eine schöne Befruchtungsparty
Viele liebe Grüße
Ivonne
Dateianhänge
Zuletzt geändert von Knuddelbaer am 03 Jul 2007 13:24, insgesamt 2-mal geändert.
KiWu seit 2004
3x IUI, 1x Kryo, 2x ICSI PU 31.05.07 8 EZ davon haben sich 7 Befruchten lassen. 6 EZ haben das Voerkernstadium ereicht. 3 Eisbären für Kryo 3 EZ werden zu Blastos kultiviert
TF am 05.06.07 1xBlasto A, 1xMorula A, 1x10 B
SST am 14.06.07 POSITIV
US 16.07.07 2 Herzlein schlagen Zwillinge
voraussichtlicher Entbindungstermin 22.02.2008
Hurra wir bekommen ein Pärchen André und Kathy
Unsere Zwillinge wurden am 18.01.08 5 Wochen zu früh per Kaiserschnitt geholt.
Andrè 10:00, 1590g, 40cm, KU 30cm, Kathy 10:01, 1890g, 43cm, 29cm. Nach 3,5 Wochen Krankenhausaufenthalt haben wir unsere Zwerge am 13.02.08 zu uns nach Hause holen dürfen.
05.08.2009 wir holen unsere Sternenkinder (Kryos) nach Hause, begraben sie im Garten und verabschieden uns von weiteren Kinder.
Mein Behandlungsplan wurde genehmigt, dann können wir evtl. auch schon diesen Monat mit der IUI anfangen, warte jetzt nur auf meine Mens, damit ich einen entsprechenden Termin ausmachen kann