Kryo oder ICSI Start im August/September/Oktober 2007

sschnuppe-29
Rang0
Rang0
Beiträge: 69
Registriert: 13 Apr 2007 18:47

Beitrag von sschnuppe-29 »

Hallo,
erstmal Danke an alle fürs daumendrücken :)
@Jana: Ja wir kennen uns, schön wieder was von dir zu lesen und dann gleich was positives. Freut mich für dich, dass es geklappt hat. Wann hattest du deinen Transfer? Und wann ist der erste US?
@Cloudy: Für dich und deinen Kamprkrümmel *dd* *dd* *dd* *dd* *dd* *dd* *dd* *dd*


Eigentlich müsste Heute meine Mens einsetzten- bis jetzt noch nichts!!! War schon beim Schlecker und habe einen B-Test gekauft. Werde ihn aber est Morgen machen.
Gruss
Katharina
sschnuppe-29
Rang0
Rang0
Beiträge: 69
Registriert: 13 Apr 2007 18:47

Beitrag von sschnuppe-29 »

Hallo,
erstmal Danke an alle fürs daumendrücken :)
@Jana: Ja wir kennen uns, schön wieder was von dir zu lesen und dann gleich was positives. Freut mich für dich, dass es geklappt hat. Wann hattest du deinen Transfer? Und wann ist der erste US?
@Cloudy: Für dich und deinen Kamprkrümmel *dd* *dd* *dd* *dd* *dd* *dd* *dd* *dd*


Eigentlich müsste Heute meine Mens einsetzten- bis jetzt noch nichts!!! War schon beim Schlecker und habe einen B-Test gekauft. Werde ihn aber est Morgen machen.
Gruss
Katharina
Benutzeravatar
KatZ-LE
Rang1
Rang1
Beiträge: 320
Registriert: 25 Jul 2007 15:17

Beitrag von KatZ-LE »

Hallo Ihr Lieben,

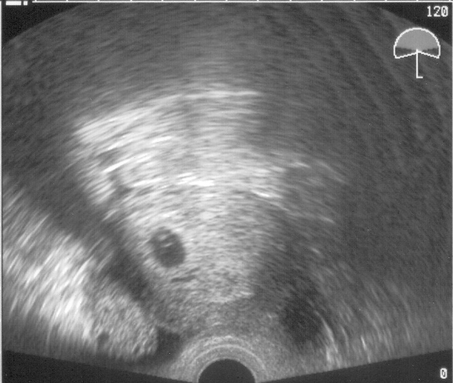
melde mich gehorsamst aus England zurück, haben alles gut überstanden. Waren gestern nochmal beim US und haben Euch was zum Mutmachen mitgebracht (s.u.)

und ich puste mal ein paar Viren zu Euch rüber: *puuuuuuuuuuuuuuuuuuuust*


Bis bald!
Dateianhänge
US 2007-11-01 - 5+6 klein.jpg
Bild Bild
riderin
Rang0
Rang0
Beiträge: 57
Registriert: 01 Apr 2007 10:42

Beitrag von riderin »

Hallo Janna,

ich bin zwar benachrichtigt worden, dass ich eine PN von Dir erhalten habe, aber in meinem Ordner ist keine. Kannst Du die bitte nochmal schicken? Vielen Dank,

liebe Grüße
riderin
Benutzeravatar
PitPat
Rang4
Rang4
Beiträge: 5175
Registriert: 05 Aug 2007 10:46

Beitrag von PitPat »

Hallo Janna und riderin,

ist ja lustig- ich hatte keine Benachrichtigung, dass ich eine PN habe, aber ich hatte trotzdem eine;-) Vielen lieben Dank, Janna, das hilft mir schon weiter! riderin, ich kann Dir die PN gerne weiterschicken, falls Du jetzt noch keine hast, sag einfach Bescheid. :D

nadine, mir geht's im Moment so lala. Mag eigentlich nicht in meine 7. WS irgendwann gehen, aber was bleibt mir schon übrig? Von nix kommt nix...wenn ich dann aber wieder angefangen habe, wird hoffentlich auch der Enthusiasmus wieder kommen; bisher war das so. Bei der letzten ICSI habe ich einen Zyklus lang die Pille genommen (Valetta glaub ich) und während des Zyklus' irgendwann in der Mitte angefangen, Suprecur Nasenspray zu nehmen. Eigentlich sollte ich gar keine DR machen, aber ich hatte mir noch eine Zyste eingefangen, da war das quasi zur Überbrückung. Ich glaub, diese DR war auch eine sehr kurze. Im Prinzip spreche ich eher langsam auf Stimulation an, daher wäre die DR im Prinzip nicht nötig gewesen (hat aber ganz gut funktioniert). :?:

Ich werd wohl auch versuchen, Doc Reichel irgendwie vorher zu erwischen. Ist nur ein bisschen schwierig für mich, weil ich ja im Großraumbüro hocke und auch vor dem 13. nicht mehr frei habe...aber vielleicht komm ich wenigstens an die Ergebnisse vorher ran und kann mich ein bisschen schlau machen. Bin auch schon gespannt, erwarte aber nicht allzuviel, weiß auch nicht warum.

Tja, warum wechsele ich die Praxis...im Prinzip geht das ja alles in meiner jetzigen Praxis, ich kann mich mit vielem abfinden (die gehen sehr geschäftsmäßig mit einem um, aber ist ja auch ok, Hauptsache es funktioniert - nur funktioniert es halt nicht). Wartezeiten machen mich manchmal wahnsinnig, da weiß ich aber noch nicht, ob das in der neuen Praxis besser wird (für die US will ich mir nicht jedes Mal 'nen halben Tag frei nehmen). Bei der BS hatte ich ein sehr unschönes Erlebnis mit der Anästhesistin, weil ein wichtiges Bluttestergebnis fehlte und mir unterstellt wurde, ich hätte irgendwas gedreht, um trotzdem jetzt unters Messer zu kommen. Im Großen und Ganzen sind es eigentlich organisatorische Probleme, aber manchmal denke ich auch, wozu jetzt dieser US wieder nötig gewesen wäre, kommt mir manchmal wie Geldschneiderei vor. Das wiederum liegt aber auch daran, dass einem so gut wie nix während der Untersuchungen erklärt wird. Tja, und da ich noch keine kenne, bei der es in der jetzigen Praxis geklappt hat, dafür aber mehrere, die in Bad Münder Erfolg hatten, dachte ich, versuch ich es einfach mal da. Schließlich bin ich einigermaßen in der Nähe, das sollte man mal ausnutzen;-)

Wenn es jetzt klappen sollte, war ich vermutlich rein nach der Statistik mal dran, aber das wäre mir dann natürlich herzlich egal und ich würde ein großes Loblied auf BM singen;-)

Sorry für die Länge (Ihr kennt das ja schon;-), liebe Grüße, PitPat

Lange steinige Kinderwunschzeit
Ein Wunder-Murkel nach 8 Versuchen (ICSI-Kind)
Ein Sternenkind (Murkel-Zwilling ging in der 10. SSW)
8 Versuche fürs Geschwisterchen schlugen fehl, hier endet der Kiwu-Weg.

Aber was Gutes wird passier'n
und wenn's gut ist, bleibt's bei dir
Jede Liebe wird irgendwann ans
Licht kommen
Es ist so einfach und nicht schwer
Is' nur so, dass es sich nie so anfühlt
Wenn du lebst und lebst und lebst und lebst

(Bosse, So oder So)




Bild
riderin
Rang0
Rang0
Beiträge: 57
Registriert: 01 Apr 2007 10:42

Beitrag von riderin »

Hallo PitPat, oh ja bitte weiterschicken, vielen Dank.

Liebe Grüße
riderin
Gast

Beitrag von Gast »

Sooo, war heute Morgen zum 1. US.
Ergebnis: rechts 3 Follikel: 19,3mm, 8,9mm, 6,9mm und 5,2mm. Links 7 Follikel: 7,7mm, 4,9mm, 6,0mm, 5,0mm, 8,3mm und 11,4mm.

Um 16:30 Uhr kam endlich der Rückruf, nachdem mein Mann dort 1 Minute vorher auf den Anrufbeantworter gesprochen hat. *mecker*

Ich soll weiterhin 1mal täglich Decapeptyl spritzen und die Dosis Menogon von 2 auf 3 Einheiten erhöhen.
Hab gleich in der Apotheke angerufen, weil mein Menogon nur noch für heute und morgen reichen würde. Die sind so lieb und bestellen eine 10er PAckung bis morgen, damit ich noch bis Dienstag weitermachen kann.
Am Montag um 9:00 Uhr hab ich einen weiteren US-Termin. Aber ich gehe mal davon aus, dass wir Mittwoch, spätestens Donnerstag in Bregenz antanzen können/dürfen/sollen/müssen.
Hm, irgendwie ein komisches Gefühl... Kennt Ihr das? Erst war alles in so weiter Ferne und auf einmal ist alles so greifbar nah... :cry:

Irgendwie gehts mir seit dem Spritzen von Menogon nicht so gut. Dr. Antje meinte zwar damals beim Erstgespräch im Spaß zu meinem Mann, dass ich während der Behandlung aufgrund der Medis nur gute Laune hätte, aber seit ein paar Tagen könnte ich nur noch heulen. :cry: Angefangen bei den besch... Hitzewallungen (ich komm mir vor wie in den Wechseljahren), bis hin zu dem Problem, dass die sch... Nadel nicht unter die Haut will (grade erst vorhin wieder gehabt). :cry:

Ach Mädels... :cry: :cry: Ich hab wirklich eine nunhelimlich großen Respekt vor denen, die diese Prozedur schon haben über sich ergehen lassen und diesen Schritt wieder und wieder gehen. Ich drück Euch alle ganz fest! *knuddel*

Liebe Grüße und ein schönes Wochenende Euch allen,
Gretchen
Gast

Beitrag von Gast »

KatZ-LE Meinen Glückwunsch!! *knuddel* Hoffentlich können wir hier bald auch alle so ein schönes US-Bildchen vorweisen! :knuddel:
Gast

Beitrag von Gast »

Gretchen138 hat geschrieben:Ergebnis: rechts 3 Follikel: 19,3mm, 8,9mm, 6,9mm und 5,2mm. Links 7 Follikel: 7,7mm, 4,9mm, 6,0mm, 5,0mm, 8,3mm und 11,4mm.
Was sagt Ihr eigetlivch zu der Größe der Follikel? Ist die Größe normal? :?:
Janna75
Rang0
Rang0
Beiträge: 49
Registriert: 14 Mai 2007 09:53

Beitrag von Janna75 »

@riderin und PitPat
sorry, tue mich noch schwer mit der Technik. Keine Ahnung wie KatZ-Le sogar ein US-Foto von der Qualität hier reinbringt :oops:

@sschnuppe-29: uuuund, Test schon gemacht??? Falls der nicht positiv sein sollte, nicht verzweifeln, erst der Bluttest gibt wirklich Auskunft. Ich denk an dich.

@Gretchen: mir ging es bei der ersten ICSI ähnlich. Konnti mir nie vorstellen, dass man das durchstehen kann und dann noch mehrfach. Musste ich bis jetzt auch noch nicht, aber irgendwie gewöhnt man sich an die Spritzen. Die Nadel beim Menogen ist so ziemlich die dünnste, die ich je gesehen habe. Vielleicht musst du den Einstechwinkel ändern. Ich habe unterbewusst immer die Bauchmuskeln zu sehr angesannt, dann hatten wir auch Probleme. Kopf hoch, du bist bestimt bald ein Profi *g*

Euch allen ein schönes Wochenende, werde jetzt fröhlich weiter :würg: und mich freuen, da das bestimmt ein gutes Zeichen für die :schwanger: ist.

Janna
Bild
Antworten

Zurück zu „Fragen und Antworten für Neueinsteiger“