Liebe Frau Zeitler,
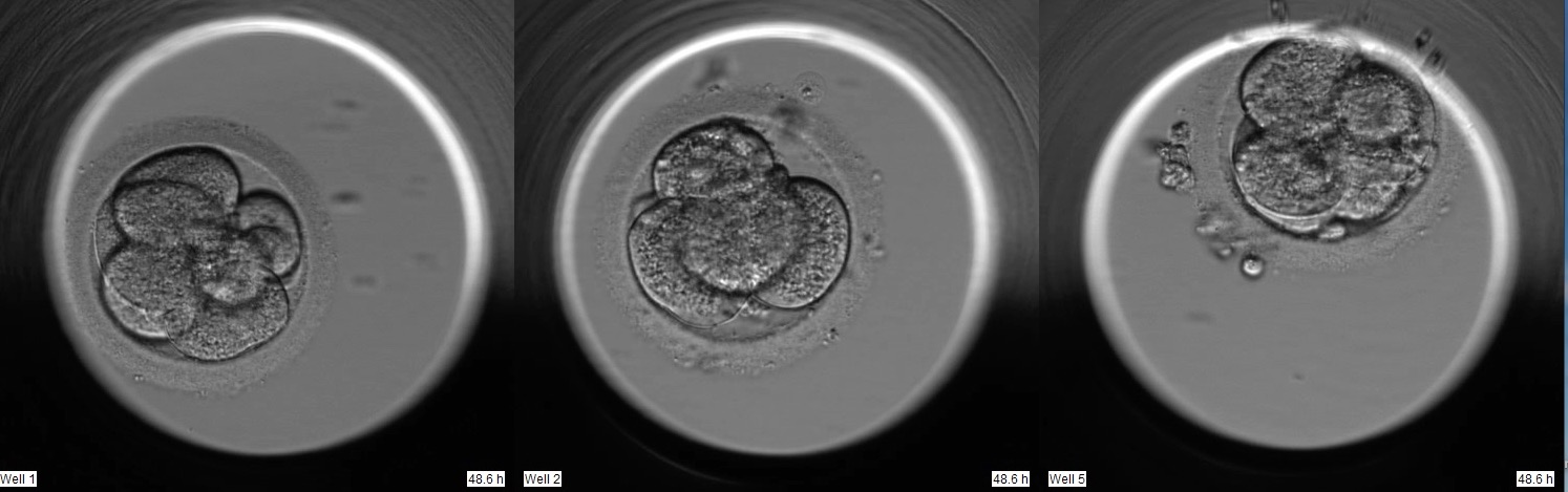
bitte um Beurteilung meiner drei verbleibenden Kryos. Die Linke und in der Mitte wurden an Tag 3 eingefroren als 8-Zeller. Die rechte wurde bis zur Blastozyste weiterentwickelt.
Ich habe drei Entwicklungsstadien aus dem Film abgebildet. 1. Foto 48 Stunden, 2. Foto 69 Stunden und letztes Bild nach 109 Stunden.
Freue mich über Ihre Einschätzung/Beurteilung.
Vielen Dank vorab für Ihre Mühe.
Lieben Gruß
Linchen01
Bitte um erneute Beurteilung
Moderator: sonjazeitler
Danke für die Beachtung
-
sonjazeitler
- Rang1

- Beiträge: 916
- Registriert: 01 Mai 2012 15:55
Guten Morgen,
alle drei Embryonen haben an Tag 3 zeitgerechte und gute Strukturen
und somit ein gutes Potential, um zu entwicklungsfähigen BCs zu werden.
Den Embryo an d5 würde ich mit 1BB einstufen d.h. eine BC, deren Strukturen
beginnen, sich gut auszubilden und gute Voraussetzungen für die weitere Entwicklung zeigen.
Alles Gute
Sonja Zeitler
alle drei Embryonen haben an Tag 3 zeitgerechte und gute Strukturen
und somit ein gutes Potential, um zu entwicklungsfähigen BCs zu werden.
Den Embryo an d5 würde ich mit 1BB einstufen d.h. eine BC, deren Strukturen
beginnen, sich gut auszubilden und gute Voraussetzungen für die weitere Entwicklung zeigen.
Alles Gute
Sonja Zeitler


