Hallo zusammen,
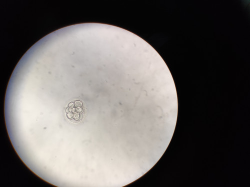
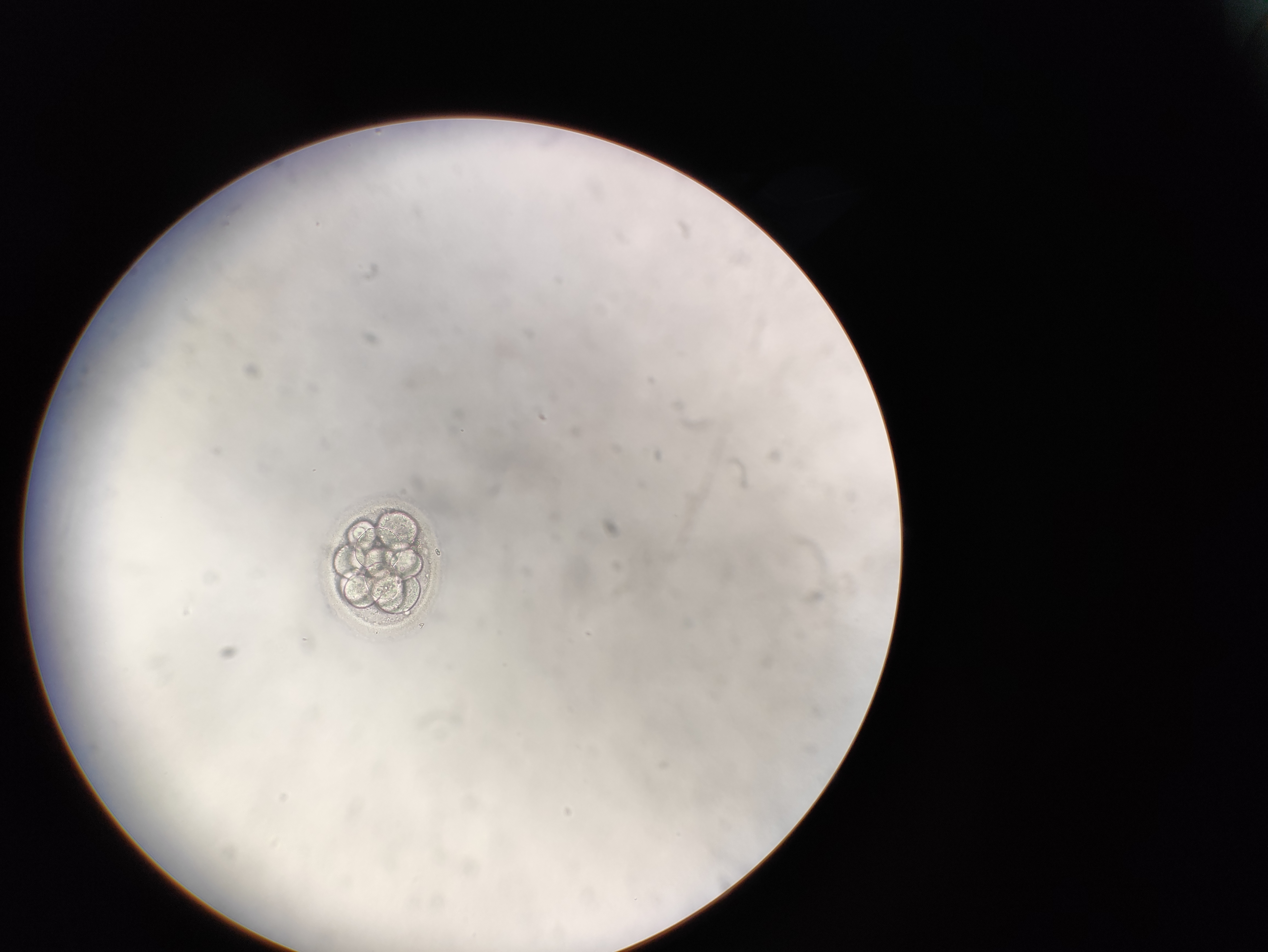
könnt ihr eine Bewertung zum Embryo abgeben
Ad blocker detected: Our website is made possible by displaying online advertisements to our visitors. Please consider supporting us by disabling your ad blocker on our website.
Embryo Bewertung
Für fachliche Fragen an die Spezialistin Frau Zeitler
klein-putz-Kooperationspartner
klein-putz-Kooperationspartner
Moderator: sonjazeitler
-
amongothers
- Rang0

- Beiträge: 34
- Registriert: 26 Jun 2022 20:32
Zurück zu „Fragen an die Biologin“
Gehe zu
- Allgemeines
- ↳ Ich bin neu hier
- ↳ Treffen, Aktionen & Veranstaltungen
- ↳ Presse, Medien, Seminare/Webinare
- ↳ Kinderwunsch-Kliniken
- Forum intern
- ↳ Forums-Technik, Bedienung & Unterstützung
- Medizinischer bzw. betreuter Bereich
- ↳ Fragen an den Repromediziner
- ↳ Fragen an Dr. Peet rund um die Eizellspende - Barcelona - Instituto Marquès
- ↳ Fragen an die Biologin
- ↳ Fragen an die Kinderwunschklinik Barcelona IVF
- ↳ Fragen an die Klinik ivf-spain Madrid
- ↳ EggDonationFriends - Webinare und Infos
- ↳ Eizellspende-Seminare
- ↳ Fragen an die Pädagogin
- ↳ Fragen an den Homöopathen
- ↳ Fragen an den Andrologen
- ↳ Kostenerstattung GKV und PKV bei klein-putz
- Theorie
- ↳ Akupunktur und Naturheilverfahren
- ↳ Schilddrüse
- ↳ Forschungsergebnisse zur Reproduktionsmedizin
- ↳ Immunologisches / Blutwerte
- Kinderwunsch
- ↳ Fragen und Antworten für Neueinsteiger
- ↳ Rund um den Kinderwunsch
- ↳ Medikamente beim KiWu
- ↳ Erfahrungen und Tipps im Kiwu-Zyklus
- ↳ Ursachen: PCO
- ↳ Ursachen: männliche Infertilität
- ↳ Kostendiskussion
- ↳ Gesundheitsreform und Versorgungsstrukturgesetz
- ↳ Embryonenschutzgesetz
- ↳ Abschied vom Kinderwunsch
- ↳ Sternenkinder
- KiWu-Praxen - für Einsteiger und Wechsler
- ↳ Praxis- und Zentrumsvorstellung
- ↳ Allgemeines
- ↳ Ausland
- ↳ Baden-Württemberg
- ↳ Bayern
- ↳ Berlin
- ↳ Brandenburg
- ↳ Bremen
- ↳ Hamburg
- ↳ Hessen
- ↳ Mecklenburg-Vorpommern
- ↳ Niedersachsen
- ↳ Nordrhein-Westfalen
- ↳ Rheinland-Pfalz
- ↳ Saarland
- ↳ Sachsen
- ↳ Sachsen-Anhalt
- ↳ Schleswig-Holstein
- ↳ Thüringen
- Geschützter Bereich
- ↳ Medikamentenabgabe und -tausch
- ↳ Adoption im In- und Ausland, Pflegekinder
- ↳ Eizellspende
- ↳ Embryonenspende
- ↳ Austausch mit Eizell-/Embryonenspenderinnen/Samenspendern und Leihmutterschaft
- ↳ Kiwu und Translokation
- ↳ Kiwu bei Paaren mit Infektionskrankheiten
- ↳ Krankheiten, Entwicklungsstörungen, Fehlbildungen
- ↳ Psychische Probleme
- ↳ Schwierige Kinder
- Heterologe Insemination
- ↳ Informationen rund um das Thema HI
- ↳ HI - persönlicher Erfahrungsaustausch (geschützt)
- Aufklärung Adoption, Eizellenspende, Heterologe Insemination, Embryonenspende
- ↳ Informationen rund um das Thema Aufklärung
- ↳ Aufklärung Ado, EZS, HI, EmbS - persönlicher Austausch (geschützt)
- (Fast) geschafft...
- ↳ Fragen/Antworten für Neuschwangere
- ↳ Schwanger...
- ↳ Geburtsanzeigen
- ↳ Mamis & Papis
- ↳ Bauen und Renovieren mit Kindern
- ↳ Stillen
- ↳ Tagesmütter und Babysitter
- ↳ Babymenüs
- ↳ Babysachen-Tipps
- ↳ Arbeitsrecht
- Klinikführer
- ↳ Allgemeines
- ↳ Ausland
- ↳ Baden-Württemberg
- ↳ Bayern
- ↳ Berlin
- ↳ Brandenburg
- ↳ Bremen
- ↳ Hamburg
- ↳ Hessen
- ↳ Mecklenburg-Vorpommern
- ↳ Niedersachsen
- ↳ Nordrhein-Westfalen
- ↳ Rheinland-Pfalz
- ↳ Saarland
- ↳ Sachsen
- ↳ Sachsen-Anhalt
- ↳ Schleswig-Holstein
- ↳ Thüringen
- Artikel
- ↳ Allgemein
- ↳ Embryonenschutzgesetz
- Downloads
- ↳ Aktionen
- ↳ Artikel aus Fachzeitschriften
- ↳ Gesundheitsreform 2004
- ↳ Kostenerstattung und Kostenübernahme
- ↳ Medikamente
- ↳ TV-Beiträge
- ↳ Urteile
- ↳ Vitamine
- ↳ Werbung für klein-putz
- Sonstiges
- ↳ Besserwisser-, Plauder- und Witze-Ecke
- ↳ Total anonym
- Buch-, CD-, DVD-, Webseiten-, Kinotipps
- ↳ Bücher
- ↳ CD + CD-ROM
- ↳ DVD / Video / Kino
- ↳ Webseiten
- Rezepte
- ↳ Backen
- ↳ Besondere Ernährung
- ↳ Diät
- ↳ Getränke
- ↳ Kochen
- ↳ Süßspeisen
- Tipps / Hilfe / Beratung
- ↳ Hilfe und Tipps rund um den PC
- ↳ Versicherungen
- ↳ Suche / Biete
