Was denken Sie als Expertin. Ist die Qualität oder die zeitgerechte Entwicklung wichtiger?
Ich habe gestern an PU +3 einen 5-8 Zeller und einen 10-16 Zeller zurück bekommen. So sagte es mir jedenfalls die Biologin. Beide seien zeitgerecht entwickelt.
Über die Qualität sagte sie nichts. Aber sie waren schon etwas "verstrubbelt" wenn ich sie mit den Embryonen vergleiche die man so im Internet sieht. Daher denke ich, dass die Qualität wohl nicht so gut ist.
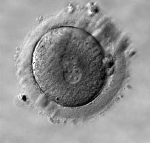
Ist diese Zygote fragmentiert, weil sie so viele Krümelchen außenrum hat? Oder was macht eine Fragmentierung aus?
http://images.google.de/imgres?imgurl=h ... edu.au%2Fe mbryology%2Findex.php%3Ftitle%3DFile%3AHuman_zygote_two_pronuclei_03.jpg%26amp%3Bamp%3Bmobileaction%3Dtoggle_view_mobile&h=477&w=503&tbnid=8C7Av_3XNbT58M%3A&docid=QFWyJ35ebSDgDM&ei=20MGWNiCJOOv6ASKw5e ACg&tbm=isch&iact=rc&uact=3&dur=636&page=2&start=52&ndsp=35&ved=0ahUKEwiY3LXH2eTPAhXjF5oKHYrhBaAQMwhzKDowOg&bih=770&biw=1600



